Deep sulcus sign

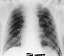
Pneumothorax left sided
In radiology, the deep sulcus sign on a supine chest radiograph is an indication of a pneumothorax.[1][2] In a supine film (common in the ICU), it may be the only indication of a pneumothorax because air collects anteriorly and basally, within the nondependent portions of the pleural space as opposed to the apex (of the lung) when the patient is upright. The costophrenic angle is abnormally deepened when the pleural air collects laterally, producing the deep sulcus sign. Patients with chronic obstructive pulmonary disease (COPD) may exhibit deepened lateral costophrenic angles due to hyperaeration of the lungs and cause a false deep sulcus sign.
References
- ↑ Gordon R (July 1980). "The deep sulcus sign". Radiology. 136 (1): 25–7. doi:10.1148/radiology.136.1.7384513. PMID 7384513.
- ↑ Kong A (August 2003). "The deep sulcus sign". Radiology. 228 (2): 415–6. doi:10.1148/radiol.2282020524. PMID 12893899.
External links
This article is issued from Wikipedia - version of the 3/7/2016. The text is available under the Creative Commons Attribution/Share Alike but additional terms may apply for the media files.